Atteint continuellement d’un mal de tête terrible, Britannique âgé de 50 ans découvre qu’il a un ver plat dans son cerveau. Il s’agit d’une découverte surprenante au Royaume-Uni!
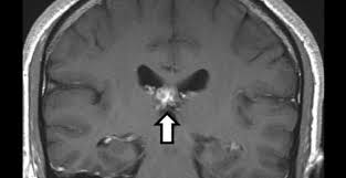
Ce Britannique de 50 ans n’aurait jamais pu imaginer que la source de ses violentes migraines et ses sensations olfactives étranges avaient pour origine la présence dans son cerveau d’un ver plat parasite d’un centimètre de long. En effet, les médecins de l’Addenbrooke’s Hospital, à Cambridge, lui ont diagnostiqué un parasite qui s’abritait depuis quatre ans dans son cerveau.
Pour ce qui est de l’invité surprise, il s’avère qu’il fait partie des Plathelminthes, une catégorie dans laquelle on retrouve des espèces de parasites comme la douve du foie ou le ver solitaire. Seulement, ce plat n’est pas très connu contrairement au ver solitaire ou encore la douve du foie.
D’ailleurs, ce Spirometra erinaceieuropei, est pour la première fois détecté au Royaume-Uni. Ainsi, il s’agit d’un cas inhabituel d’infection comme l’a précisé l’un des membres du corps médical en charge du patient. En effet, Effrossyni Gkrania-Klotas a expliqué dans un communiqué que les médecins ne s’attendaient pas à observer une telle infection au Royaume-Uni car ce genre est très rare.
En savoir plus sur Tixup.com
Subscribe to get the latest posts sent to your email.

